Home
Products
Root Canal Files
Endodontic Devices
Microscopic Devices
Other Instruments
AF F ONE
AF ROTARY
V-TAPER GOLD
AF BABY
C-PATH
AF CL
AF MAX
IROOT PRO
iRoot Ultra
Actor I Pro
eHeater
iRoot Mini
eFiller
Wispex
MCS 3000A
C-HANDLE
PLUGGER
Gutta Percha
Paper Point
Irrigation Needle
3D Tooth
Warm Gutta Percha
All Products
AF F ONE
AF ROTARY
V-TAPER GOLD
AF BABY
C-PATH
AF CL
AF MAX
Root Canal Files
IROOT PRO
iRoot Ultra
Actor I Pro
eHeater
iRoot Mini
eFiller
Wispex
Endodontic Devices
MCS 3000A
Microscopic Devices
C-HANDLE
PLUGGER
Gutta Percha
Paper Point
Irrigation Needle
3D Tooth
Warm Gutta Percha
Other Instruments
Media
Exhibition
Endo Case
Lecturer Screening
User Comments
Information Center
About
Manager Contacts
Partner Information
Speaker
Service
Verification
中文
ENGLISH
ENGLISH
中文
Contact Us
Address: Room 1503, #7 Pu Bei Rd,Xuhui Dist Shanghai ,P.R of China
postal code: 200235
Tel: +86-2164033133
E-mail: Sales@fanta-dental.com
YOU ARE WELCOME TO LEAVE US A MESSAGE
NAME
*
COMPANY
PHONE
E-MAIL
MESSAGE
SUBMIT
HOME
·
MEDIA
·
ENDO CASE
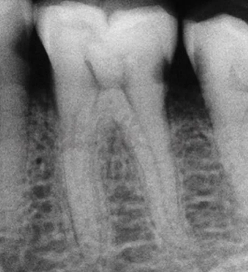
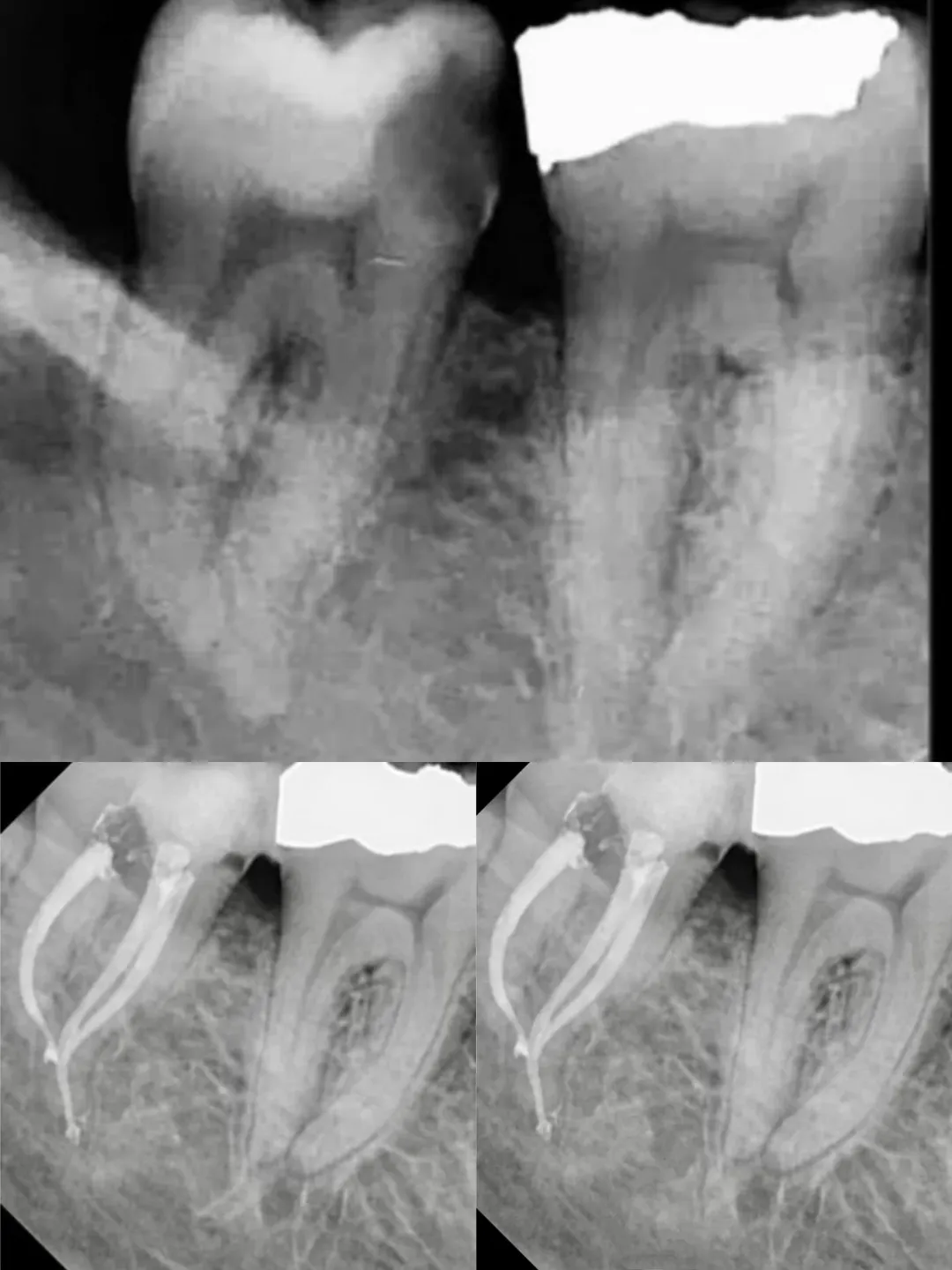
ENDODONTIC CASES
ALL PRODUCTS
{{ cat.category_name }}
{{ goods.title }}
Dr.Hosam Sek
Root Canal Files
Rising
RISING
Treatment Case
Dr. Ahmed Alwaidh
Endodontic Hand instruments
MC-Shaper
MC-Shaper
Treatment Case
Dr. Francesca Cerutti
Endodontic Devices
eHeater
eHeater and eFiller
Treatment Case
Dr. Marino Sutedjo
Endodontic Devices
IROOT PRO
IROOT PRO
Treatment Case
Dr. Francesca Cerutti
Root Canal Files
AF - F ONE
SIE KIT
Treatment Case
Dr. Francesca Cerutti
Root Canal Files
AF - F ONE
SIE KIT
Treatment Case
Dr. Massimo Giovarruscio
Root Canal Files
AF F ONE
Essential kit: for majority of the cases
Treatment Case
Dr. Mohammed Za'frany
Root Canal Files
AF - F ONE
Stainless Steel C Files
Treatment Case
View More